Principales tratamientos del pie

Cirugía percutánea

raul-torre-cirugia-percutanea-tratamiento

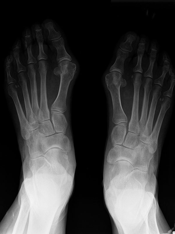
En la mayoría de las patologías del antepié (hallux valgus, rigidus, metatarsalgias, deformidad de los dedos) realizamos cirugía percutánea conocida popularmente como “láser”. Esto nos permite corregir las deformidades con un mínimo daño a las partes blandas y sin apenas cicatriz lo que traduce menos dolor y una recuperación más rápida.

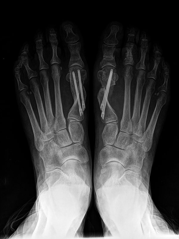
En el hallux valgus y en las fases incipientes del hallux rigidus fijamos la corrección deseada con tornillos (cirugía percutánea de 3ª generación) lo que confiere más estabilidad y por tanto nos permite conseguir unas mayores correcciones de la deformidad sin apenas dolor respecto a otras técnicas percutáneas.

Antes

Después