La deformidad de hallux valgus puede provocar diferentes problemas:
Por un lado, intolerancia con el calzado por la deformidad. A nivel de la protuberancia medial (bunion) pero también en el dedo en martillo que suele aparecer secundariamente se pueden provocar lesiones consecuencia de la fricción con el calzado.
Por otro lado, se produce una alteración en el reparto de las cargas entre los metatarsianos por la deformidad. Esto provoca una metatarsalgia sobre todo en el segundo metatarsiano que de forma crónica generará una inestabilidad metatarsofalangica (MTF) y aparición de dedo en martillo e incluso luxación. El paciente suele referir dolor, dureza, quemazón…etc bajo el 2º dedo.
Si ambos problemas son tolerables o se ha encontrado una solución para ellos (calzado ancho, plantillas, protectores…etc) no sería necesaria la corrección quirúrgica.
Si dolor es habitual, con incapacidad para calzarse o para realizar actividades deseadas nuestra recomendación es la cirugía.
Existen más de 130 técnicas quirúrgicas para el hallux valgus. En los últimos tiempos las osteotomías (cortes en el hueso) han tenido un papel protagonista como cirugía de corrección de hallux valgus. Gracias a los avances técnicos ha surgido la cirugía percutánea que permite osteotomías con una mínima agresión de los tejidos blandos lo que conlleva un menor dolor postoperatorio y menor tasa de infecciones.
Esta cirugía percutanea, a su vez, ha ido evolucionando hacia sistemas más estables que permiten mayores correcciones con menor tasa de complicaciones como recidivas o retardos de consolidación.
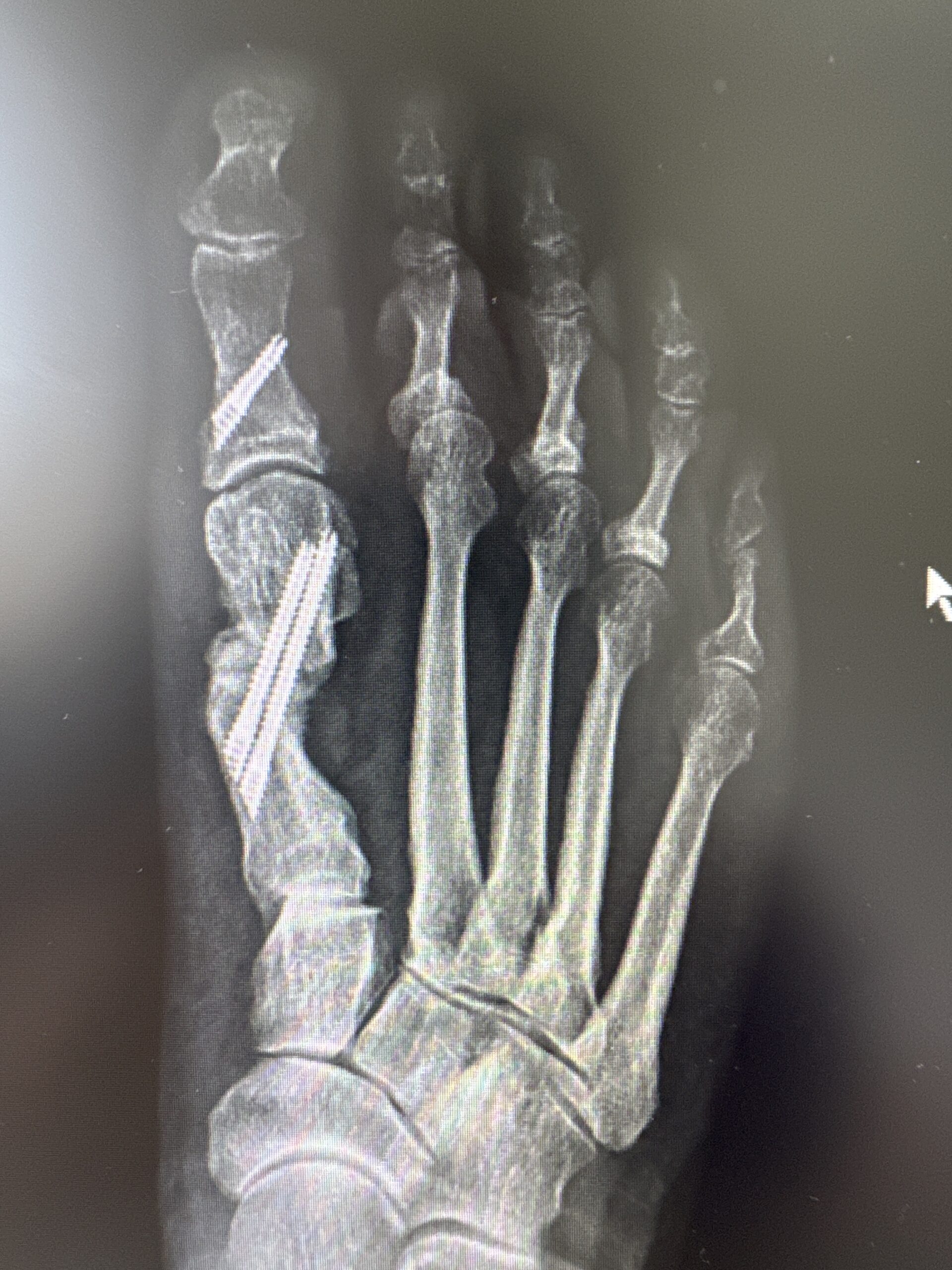
Os presento un caso de deformidad de hallux valgus intervenido con una técnica de cirugía percutánea de 3ª generación. En este ocasión, se ha realizado unas osteotomías en el primer metatarsiano y en la primera falange que se han fijado con tornillos que confiere a la corrección estabilidad, seguridad y menor dolor postoperatorio manteniendo el respeto a las partes blandas.
Los resultados radiográficos y clínicos los podéis ver en las fotos antes de la cirugía y los 3 meses de la misma.



