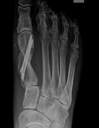
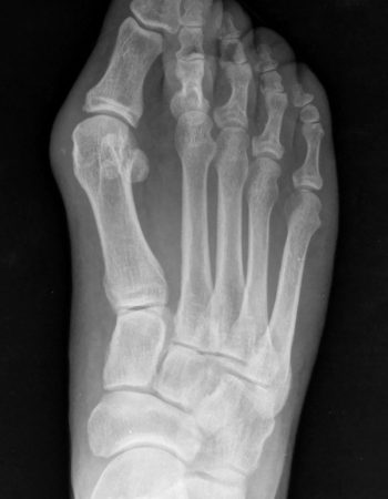
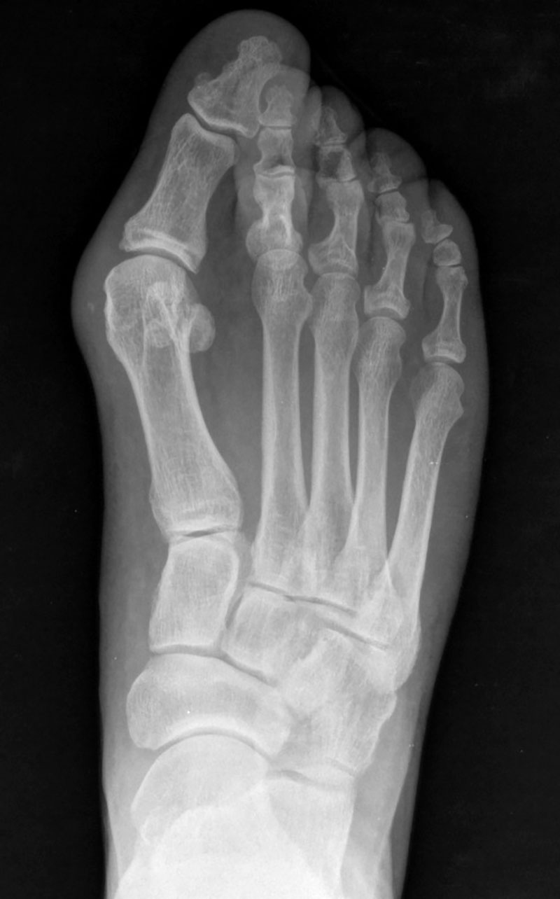
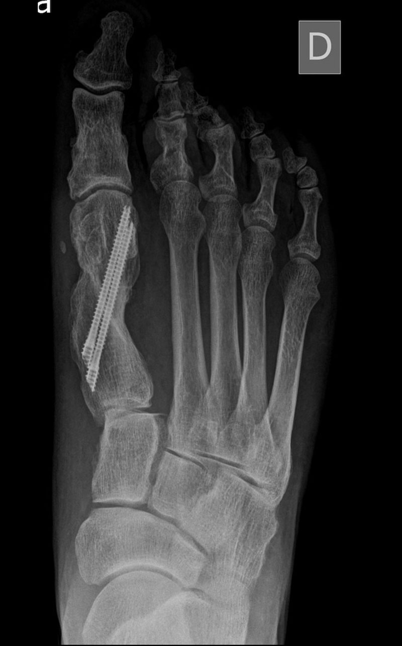
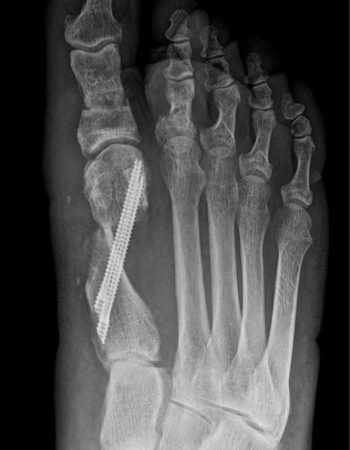
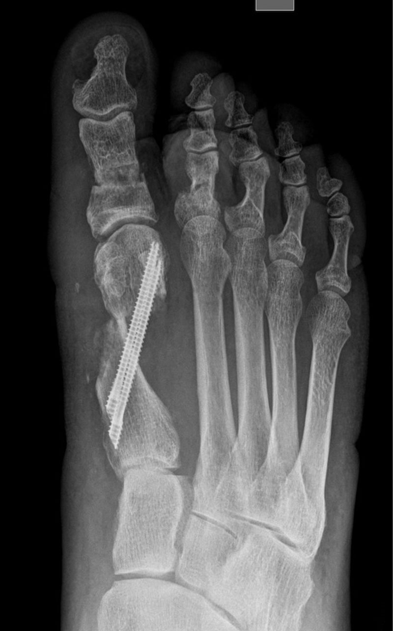
El caso que presentamos es muy representativo de la capacidad de corrección de la cirugía percutánea de tercera generación en la deformidad de Hallux Valgus. Se trata de una paciente con dolor a nivel del bunion y metatarsalgia con un 2º dedo sobre el primero que también le causa intolerancia con el calzado. Fue sometido a una técnica percutánea llamada MICA (Minimal Invasive Chevron Akin), sin ingreso y permitiendo carga inmediata
En las imágenes radiográficas se observa cómo se consigue una gran corrección en la posición de los dedos y una reducción de los sesamoideos sobre la cabeza metatarsiana. La fijación con tornillos nos va a permitir mantener esa reducción y estabilizar el montaje para reducir el dolor postoperatorio y permitir una buena consolidación ósea, como se ve en la última imagen.


